在门诊中,偶尔会碰到这样的病人,说自己脚后跟肿起来并且伴疼痛,走路走多了,以为是鞋子磨脚跟。
例如这样的……

也有这样的……

还有这样的……

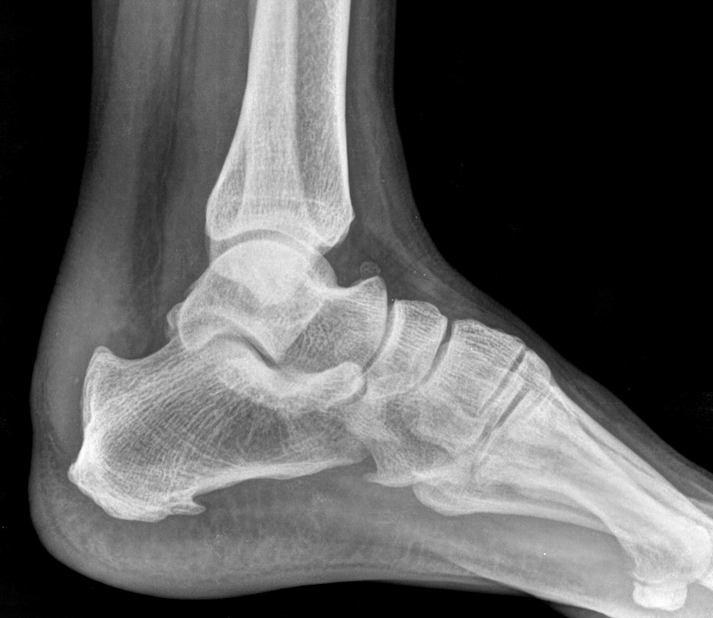
实际上,他们十有八九,不只是鞋子磨出来的,而是他们的跟骨和正常人不一样,有畸形,这种畸形叫Haglund(哈格隆德)畸形。他们所患的疾病也叫haglund综合征。
Haglund的畸形是什么?Haglund综合征又是什么?
Haglund的畸形是指脚后跟的骨质增生肥大,当骨头的增大隆起后,后跟的皮肤反复摩擦到鞋子上时,跟腱附近的软组织(例如跟后滑囊)会受到刺激,导致滑囊炎,引起疼痛、皮肤发红等症状。
Haglund综合征一组临床征候群,表现为:足跟后上方跟腱止点处的无菌性炎症、骨性增生肥大以及皮下或跟腱下滑囊炎。该病变于1928年由Patrick Haglund首先描述,故将止点性跟腱炎、跟骨后上突增生(Haglund畸形)与跟腱滑囊炎统称为Haglund综合征。其中跟骨后滑囊炎好发于年轻人(30岁左右),而伴有骨赘形成的止点性跟腱炎则好发于年龄更高的人群。

哈格隆德长骨赘,磨啊磨,跟腱伤不起
Haglund畸形经常伴有跟腱炎,因为增生的骨赘会磨损跟腱,也会引起跟腱异常钙化,最终可能导致跟腱断裂。

为什么会有Haglund畸形?Haglund综合征的原因是什么?症状如何?
Haglund畸形主要病因是遗传,此外,通常合并以下问题:高脚足、跟腱较紧张、走路时喜欢用脚跟外侧着地受力。
不少鞋子鞋后跟很硬(例如皮鞋、高跟鞋等),haglund畸形患者在行走时鞋后跟和增生的跟骨会对足后跟产生压力,像三夹板一样夹在中间,反复摩擦,从而诱发炎症,引起haglund综合征。
Haglund畸形可以单侧也可双侧发病,不少患者双足都有畸形,但是程度不对称,通常只有单侧会有症状。症状包括:
1、脚后跟明显凸起
2、跟腱附着在脚后跟部位的疼痛
3、脚后跟肿胀
4、脚后跟皮肤发炎,肿胀发红
旧病不治会产生什么后果?
1、 难看,骨质增生到一定程度,脚后跟一大块凸起,鞋子穿不进,穿进去走路就疼
2、 反复疼痛,只能穿拖鞋
3、 跟腱磨损甚至断裂

怎么诊断?
诊断方法包括病史询问、体格检查、X线和磁共振检查。X线主要评估骨质增生程度,明确有无其他足部畸形,例如高弓足。而磁共振检查可以显示跟腱和骨的关系、滑囊炎的进展程度,对制定手术方案具有一定帮助。

怎么进行保守治疗(非手术治疗)
Haglund畸形的非手术治疗旨在减轻滑囊的炎症,缓解疼痛,但无法使增生的骨赘消除或缩小。虽然绝大部分患者通过非手术治疗方式都可获得满意疗效,但是症状复发是常有的事情。主要方法如下:
休息制动:不动就不会痛。
消炎镇痛药:建议口服非甾体抗炎药(NSAID),例如布洛芬、赛来昔布、洛索洛芬等,以减轻疼痛和炎症。
冰敷:冰袋置于在发炎的地方,注意要在冰袋和皮肤之间放一条薄毛巾,以免冻伤。冰敷20分钟后,休息15分钟,然后再次冰敷。
功能锻炼:拉伸运动有助于缓解跟腱的张力,对跟腱张力高的患者尤其重要。
足跟增高垫。特别是对合并高弓足的患者而言,放置在鞋内的足跟增高垫会降低脚后跟上的压力。
脚跟缓冲垫。可放置在鞋内缓冲脚后跟,并有助于减少走路时的不适感。
换鞋子,鞋后跟部较软的鞋子或者没有鞋后跟部的鞋子(拖鞋、洞洞鞋等)有助于减少刺激。
物理治疗:例如超声波、冲击波等,可以帮助减轻炎症,缓解疼痛。
局封治疗:仅适用于快速缓解症状,有可能对跟腱造成损伤。
富血小板血浆治疗:用于治疗跟腱炎症,对其他病变没有作用。
石膏或支具固定:如果症状很严重,建议使用石膏或支具进行固定,强制休息。
什么时候需要手术?
如果非手术治疗无法充分缓解疼痛,则可能需要进行手术。根据骨赘的大小和凸出程度,以及跟腱的质量决定手术方式。
手术分为小做和大做
小做:关节镜下跟骨骨赘磨除,滑囊清理术,优点是微创恢复快,缺点是有可能无法彻底磨除增生骨赘、跟腱损伤、术后复发等。
大做:开放手术,跟骨骨赘切除,跟腱止点重建,优点是具有根治性,缺点显而易见,创伤较大,容易出现伤口并发症,如感染、伤口愈合不良、神经损伤等。
如何预防症状复发?
为了防止症状反复,可进行下列预防措施:
1、 穿合适的鞋子;避免鞋子后跟部太硬“磨脚”
2、 使用足弓支架或矫形鞋垫
3、 定期进行拉伸运动放松跟腱,如单腿踮脚训练
4、 避免在坚硬的地面上跑步,避免上坡跑步
有疑问?在线咨询专业医生
获得专业医疗建议,无需等待预约
文章 到底是热敷还是冷敷?万医生帮你搞搞清楚
万方
主治医师
复旦大学附属华山医院
文章 运动人士的物理外挂——肌内贴
万方
主治医师
复旦大学附属华山医院
文章 健康小伙突然膝盖伸不直,病因竟是罕见的交叉韧带囊肿!
万方
主治医师
复旦大学附属华山医院
文章 网上说人工韧带不好,是这样的吗?
万方
主治医师
复旦大学附属华山医院
文章 肌腱炎就是“筋“发炎了,要早点治疗
万方
主治医师
复旦大学附属华山医院
文章 到底如何运动才能防病健身?万医生解读世卫组织官方指南
万方
主治医师
复旦大学附属华山医院
文章 叉友们请注意!全世界前交叉韧带大佬们齐聚一堂,竟然得出了这些的结论!
万方
主治医师
复旦大学附属华山医院
文章 湖南叉友千里来沪求医,万医生帮助他重返运动
万方
主治医师
复旦大学附属华山医院
文章 足跟痛大多都是足底筋膜炎,该怎么治?
万方
主治医师
复旦大学附属华山医院
文章 跑步后小腿肚痛,16种病因要鉴别,能不重视吗?
万方
主治医师
复旦大学附属华山医院
12岁男孩因车祸导致前交叉韧带断裂,担心手术对成长发育的影响,寻求专业医生的建议。
就诊科室:运动医学科
总交流次数:31
万方
主治医师
复旦大学附属华山医院
我在健身课上用到膝盖时会感到吃力,间隔一两天就会疼,尤其是在下楼梯和游泳时更明显,希望了解原因和治疗方法。患者女性34岁
就诊科室:运动医学科
总交流次数:17
万方
主治医师
复旦大学附属华山医院
15岁开始经常性脱位,最近两次在日常活动中突然发生,求助于医生,提供了X光片和云端电子胶片,希望得到专业的诊断和治疗建议。
就诊科室:运动医学科
总交流次数:10
万方
主治医师
复旦大学附属华山医院
