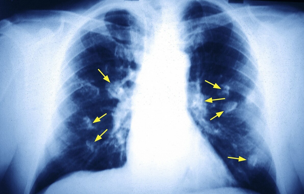
陈女士是我本科时的同学,在江苏某三甲医院做普外科医生,三年前,单位例行体检,她的左下肺有个8mm磨玻璃结节,右上肺有一个3mm的磨玻璃结节。左下肺结节伴有血管穿过,从大小、形态来看,都像恶性结节,于是进行了胸腔镜手术,病理提示肺原位腺癌。术后一直随访右上肺结节,有增大趋势。她调侃说,“我迟早要经历第二刀的”。像她这样,如果第二个结节确定也是肺癌,则属于多原发肺癌。

多原发肺癌(multiple primary lung cancer, MPLC)是指同一患者的肺内同时或先后发生两个或两个以上原发性肺癌。以诊断时间间隔6个月为界,分为同时性多原发肺癌和异时性多原发肺癌。同时确诊或先后确诊,间隔时间在6个月内的皆属于同时性多原发肺癌。先后确诊间隔时间超6个月的为异时性多原发肺癌。中国大约有3%的肺癌患者,会出现多原发的情况。
多原发肺癌发病原因目前比较公认的观点是“区域癌化”。意思是致癌因子长期作用于呼吸道上皮组织,引起细胞DNA损伤,经过长期的突变累积,最终发展为恶性肿瘤。致癌因子介导的DNA改变存在于整个呼吸道粘膜,支气管肺泡上皮可能发生广泛异型增生,其中某些高级别的异型增生细胞首先癌变,随着时间的推移,还可能有其他异型细胞相继癌变,形成多原发肺癌。在这一过程中,不同位置的组织细胞可能发生不同的基因突变,从而形成具有独立的不同克隆来源的多原发癌,而各个癌灶就表现出具有自身特异性的基因表型。

我的理解是,由于致癌因素和遗传基因的共同作用,呼吸道内的“土壤”不再健康,多个坏的“种子”同时或不同的时间,不同的地点“发芽”就形成了多原发肺癌。多原发肺癌可以是病理类型相同、基因型相同的癌。也可以是病理类型不同的癌,比如有的是腺癌,有的是鳞癌。也有可能都是腺癌,但基因型不同。

多原发肺癌的治疗原则:
1、 在无手术禁忌证的情况下尽可能手术治疗;
2、 尽可能完整有效地切除肿瘤;
3、 尽可能多地保留健康肺组织;
4、 术后应采取多学科综合治疗,以提高生存率。
无论是单个肺癌,还是多原发肺癌,术后分期方法是一样的,对于IA期的患者,5年生存率超过80%,绝大多数病人可以达到临床治愈。所以,不必以为多个恶性结节就一定严重得多,只要治疗得当,预后与单个病灶类似。
对于同时性多原发肺癌,如果多个结节在同一个肺叶,只要将这一肺叶切除就可以同时消灭多个肿瘤,如果散在在不同的肺叶则需要根据病人年龄和肺功能状况来决定是否切除一到两个肺叶,尽量不要切除三个以上的肺叶,否则对肺功能的影响较大。如果评估病人手术过大会严重影响肺功能的话,可以考虑射频消融或精确放疗来处理其他的病灶。
有疑问?在线咨询专业医生
获得专业医疗建议,无需等待预约
文章 眼睛疼、模糊、有重影,可能是糖尿病引起的眼肌麻痹还是瘤子压迫?
健康饮食指南
文章 口腔异物感,轻微隆起,无疼痛,可能是口腔溃疡吗?
病友互助家园
文章 舌根部长了一个肉瘤,舔舐时疼痛,可能是口腔溃疡?
生命守护者联盟
文章 马眼里长了肉瘤和白色痘,怎么办?
中医养生之道
文章 糖尿病和肺结核患者的白内障复发问题
中医养生之道
文章 急性结膜炎护士管理肺结核病人,会传染吗?
AI医疗先锋
文章 眶交界性肿瘤的检查手段
健康解码专家
文章 交界性眼肿瘤疾病
健康百科
文章 眼交界性肿瘤病:认识、预防与治疗
精准医疗探秘
文章 交界性眼肿瘤疾病
医疗数据守护者
患者发现自己有一个肿块,担心是癌症,希望了解手术方式和术后注意事项。
就诊科室:乳腺外科
总交流次数:8
张景福
主治医师
福清市妇幼保健院
我发现自己有乳腺结节,担心是不是什么大问题,希望能得到专业的解答和建议。患者女性48岁
就诊科室:乳腺外科
总交流次数:18
屈会青
主治医师
北京王府中西医结合医院
患者近期出现疲劳、食欲下降等症状,已开始服用药物,但对肿瘤的基本知识和药物作用不太了解。患者女性66岁
就诊科室:肿瘤内科
总交流次数:4
王之栋
主治医师
烟台市莱阳中心医院
大家都在问
王必成
副主任医师
肿瘤科
华中科技大学同济医学院附属协和医院
姜胜军
副主任医师
口腔综合科
武汉大学人民医院
高水超
副主任医师
头颈外科

